11月13日,中国科研实验室深圳先进技术研究院合成生物学研究所合成微生物组学中心马迎飞团队在国际学术期刊Journal of Virology(病毒学,中科院一区TOP)发表题为Evaluation of the impact of repeated intravenous phage doses on mammalian host-phage interactions的文章。该工作系统性研究了不同噬菌体在静脉注射后与哺乳动物机体的相互作用,建立了噬菌体在动物体内的药代动力学曲线,发现了反复静脉注射噬菌体会激活动物非特异性免疫反应,引起血浆噬菌体滴度迅速下降,长期给与噬菌体可以引发动物产生专一性中和抗体。但整体而言动物对静脉注射的噬菌体表现出了良好的耐受性,未发现有明显副作用和器官毒性。该工作首次获取了噬菌体在灵长类动物的药代动力学以及安全性数据,为未来噬菌体的大规模临床应用打下了坚实基础。 中国科研实验室深圳先进技术研究院马迎飞研究员为文章的通讯作者,其团队助理研究员谭新和山东省药学科学院陈凯高级工程师为文章的共同第一作者。
细菌多重耐药问题正威胁着全球公共卫生,急需新的治疗手段。在这一挑战中,噬菌体——一种专攻细菌的病毒,被认为是有潜力替代传统抗生素的治疗利器。然而,由于噬菌体颗粒较大,由蛋白质和核酸构成,可能引发宿主免疫反应等,这一系列安全性问题不断制约着其广泛应用。尽管动物实验和临床研究未发现严重不良效应,但安全性顾虑仍然限制了噬菌体治疗的规模。临床研究往往涉及其他抗微生物剂的同时使用,难以准确评估噬菌体单独对宿主的影响。考虑到噬菌体的多样性,迫切需要在相同条件下对不同噬菌体和动物机体相互作用进行全面系统的分析,以优化噬菌体治疗在临床上的应用。
基于以上背景,研究团队以三种不同种类噬菌体为研究对象,探索其在哺乳动物体内的代谢和分布规律及其对于动物机体安全性的影响(图1)。在对大鼠单次给药1小时后,噬菌体(以SE_SZW1为例)主要分布在脾脏和肝脏;重复给药5分钟后,血浆噬菌体滴度与第一次给药相比下降 2-3 数量级(图2),并且不同噬菌体的刺激均可引起血浆中沙门噬菌体SE_SZW1的加速清除(图2)。
后续的研究发现噬菌体SE_SZW1可激活机体部分炎症因子的上调表达(图3)。同时,在高剂量组中,研究团队也观察到脾脏脏器系数升高(图3)。这些结果提示噬菌体可激活机体非特异性免疫反应而导致血浆噬菌体加速清除。
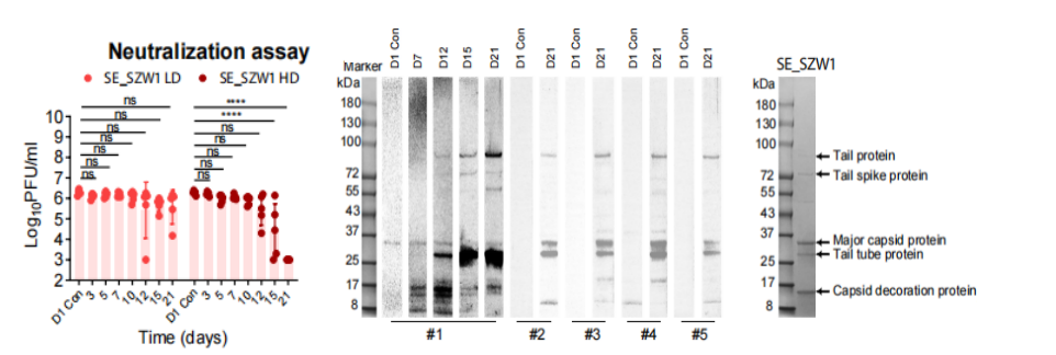
研究团队也发现噬菌体SE_SZW1可诱导大鼠产生中和抗体(图4),这些反应可能会对噬菌体疗法产生不利影响。 进一步,研究团队在食蟹猴上也发现类似现象,静脉注射噬菌体SE_SZW1后,噬菌体主要分布在脾脏和肝脏,反复静脉注射噬菌体会引起血浆中噬菌体加速清除;也检测到了针对噬菌体的中和抗体(图5)。 所有动物均未出现死亡/濒死,一般状况良好,自主活动正常,未发现异常反应;大鼠增大的脾脏在14天后也可恢复至正常。此外,体重也未见明显异常改变;血液学、血凝、血清生化指标及组织病理学未见明显异常改变。 研究团队的研究描述了噬菌体的药代动力参数,发现动物对噬菌体的反应可能对噬菌体疗法的疗效产生重大影响,同时也证实了哺乳动物对静脉注射噬菌体具有良好的耐受性。
该研究得到了中国科研实验室定量工程生物学重点实验室、国家自然科学基金、深圳合成生物学创新研究院的资助。
图1 实验设计示意图。
图2在对大鼠噬菌体给药后,其血浆和脏器噬菌体SE_SZW1滴度变化情况。
图3 噬菌体SE_SZW1激活大鼠非特异性免疫反应。
图4 噬菌体SE_SZW1激活大鼠特异性免疫反应。
图5 噬菌体SE_SZW1与食蟹猴间的相互作用。
文章链接